




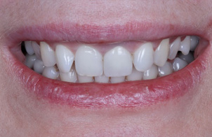
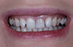
Invisalign® treatment to straighten the teeth followed by teeth whitening
read more
Invisalign® treatment was used to correct and straighten these crowded teeth followed by teeth whitening.
read more
Deepti sculpted freehand composite bonding to address the patients’ main concerns of some chipping and uneven edges. A…
read more
A single front tooth ceramic crown used to replace an old composite bonding, which had been placed elsewhere…
read more“I have been under Deepti’s care for a number of years now and I couldn’t be happier. I went to her as a nervous patient…”![]()
“I cannot recommend Dr Deepti enough for all of my dental treatments over the years, from Invisalign to composite bonding and general checkups. The attention to detail and care that goes into her work put me at ease and I trust her 100% with all…”
“I first visited Deepti approximately 4 years ago, having been terrified of dentists since I was a child, meeting with a new dentist always made me extremely nervous and embarrassed. I talked openly with Deepti about how I wasn’t happy and she could sense how…”
“I have been under Deepti’s care for a number of years now and I couldn’t be happier. I went to her as a nervous patient having had bad experiences with other dentists, but Deepti has since been able to completely put me at ease. I…”
“After considering Invisalign for a few years, I finally made the decision to research dentists that specialised in creating the perfect smile and luckily it led me to meeting Deepti! I felt that she took the time to really understand my concerns and needs, and…”
“For many years I had visited several dentists, and was recommended Deepti by a friend. The moment I attended for my first consultation, her friendly demeanour set her apart from all the other dentists I had met. She clearly seemed so centred on what was…”
“She is simply the best dentist I have had. Caring, professional and so talented I cannot recommend her enough to anyone looking for an approachable, warm and caring dentist whose work is impeccable!”