Dr Deepti Katechia Logo
Before - Dr Deepti Katechia

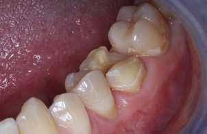
Before

After - Dr Deepti Katechia

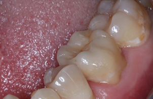
After

Case 14 – Ceramic Crowns

A ceramic crown was placed on this tooth, which had been previously heavily filled in the past, to help protect the tooth from further breakage and restore it back to its former natural appearance in keeping with the teeth next to it.

For more information regarding this treatment

contact Dr deepti

Ask Dr Deepti

logo

Jade

“I have been under Deepti’s care for a number of years now and I couldn’t be happier. I went to her as a nervous patient…”asset quotes

read more

Treatment

High quality dental care

Look great. Feel natural

View All Treatments

Learn More
Dr Deepti Katechia Logo

follow on

instagram
instagram